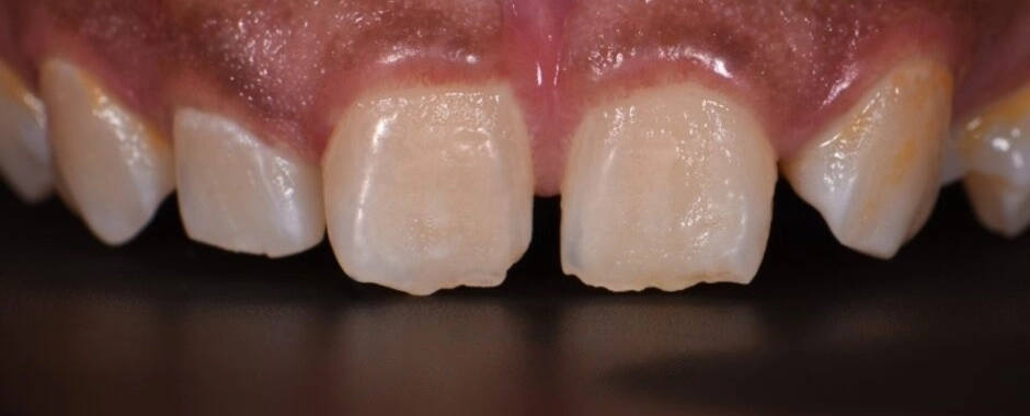
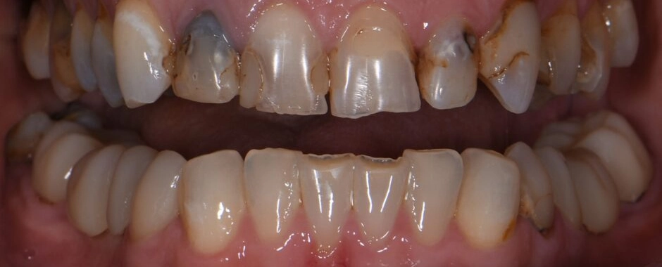
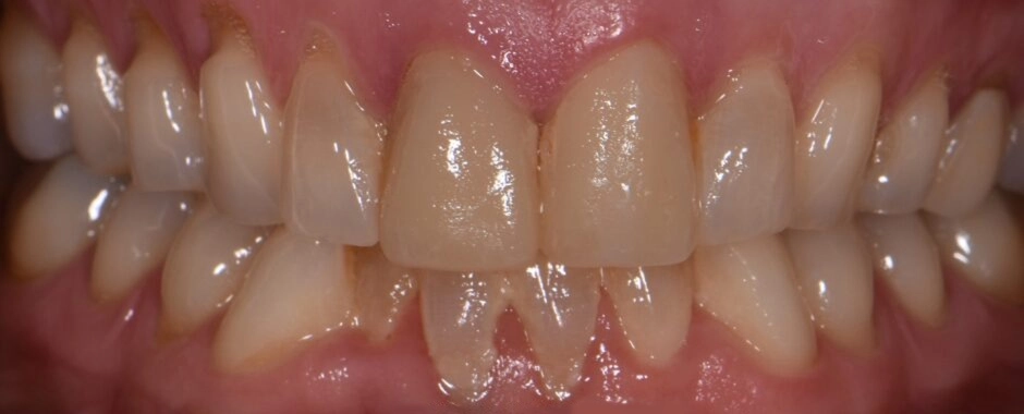
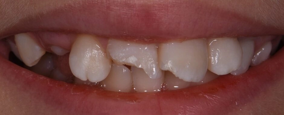
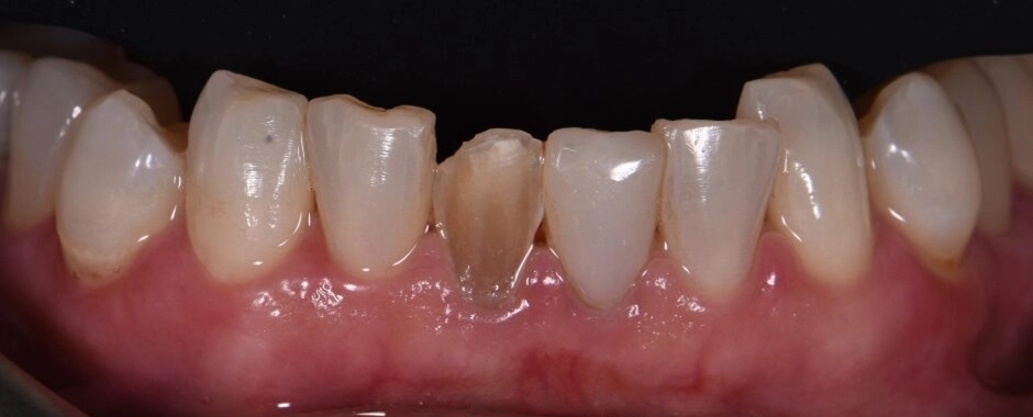
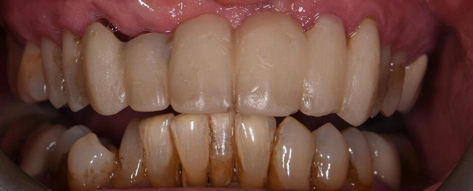
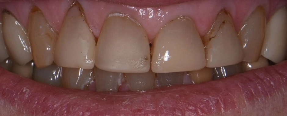
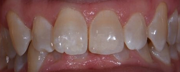
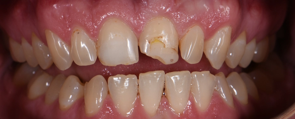
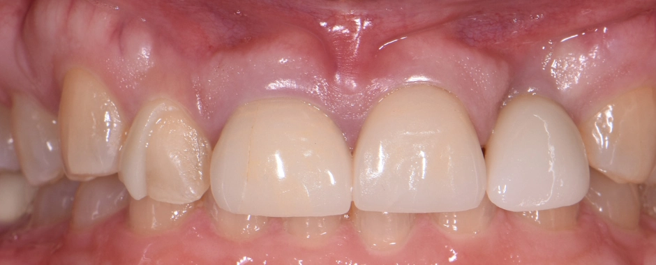
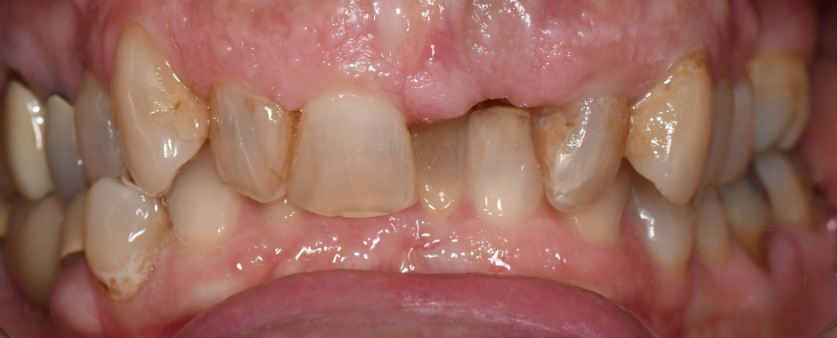
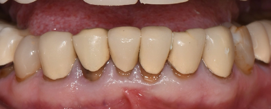
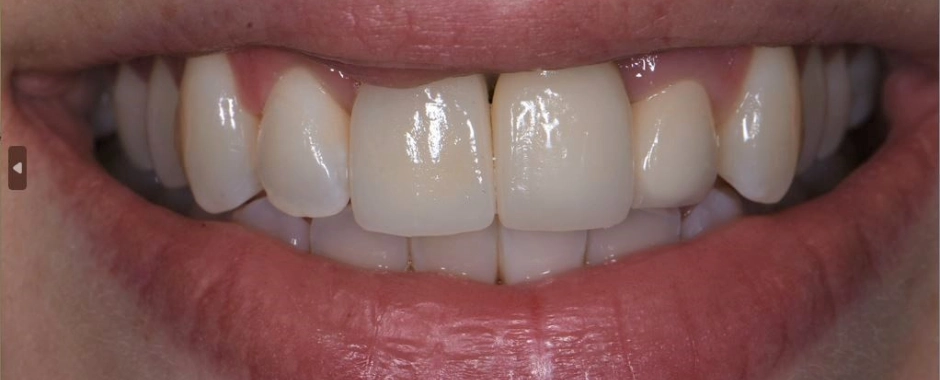
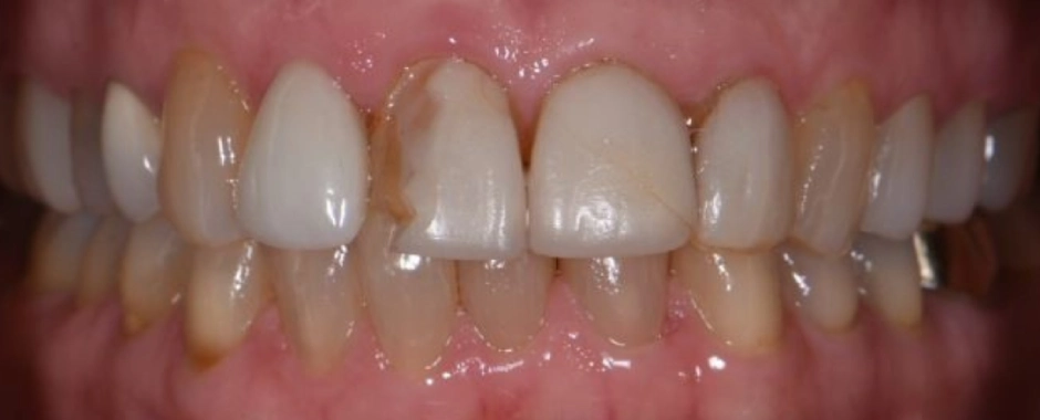
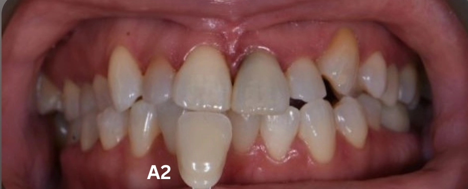
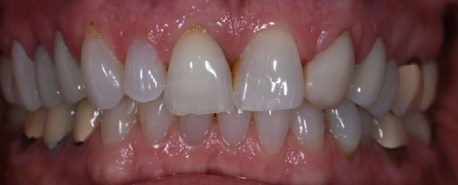
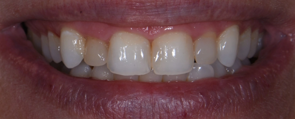
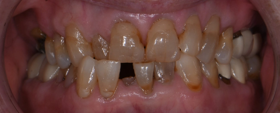
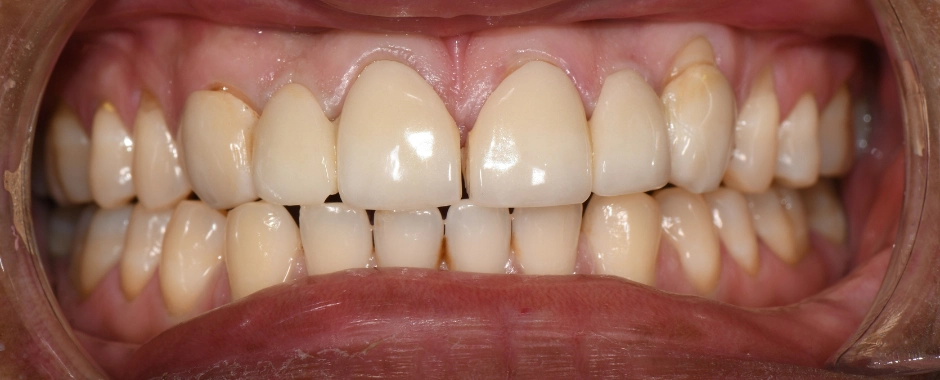
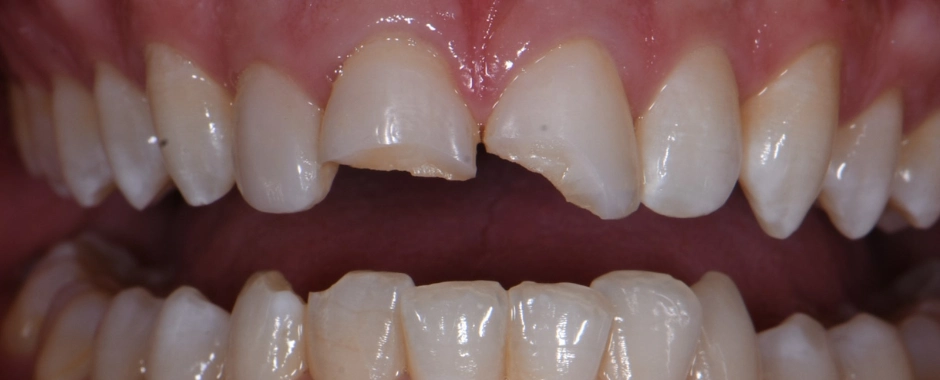
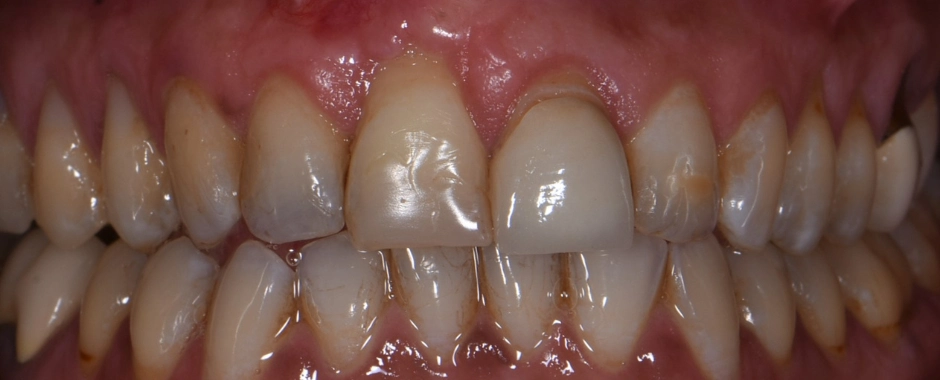
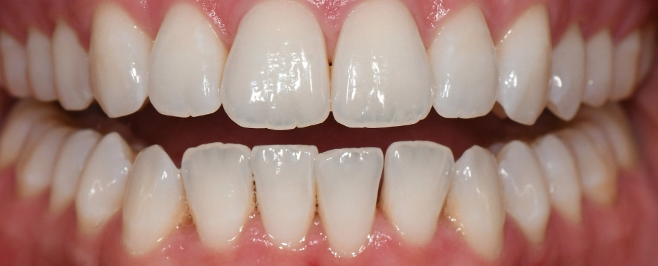
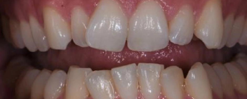
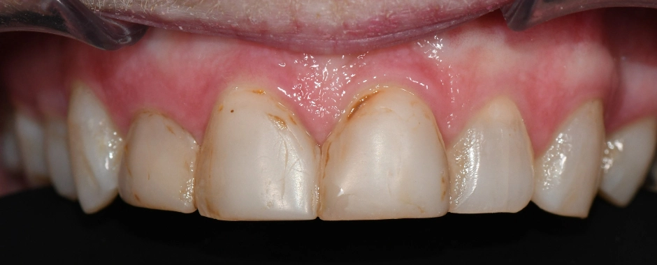
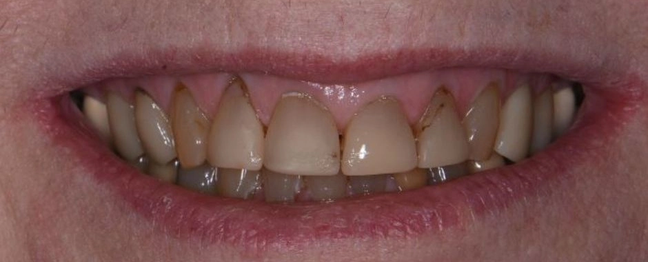
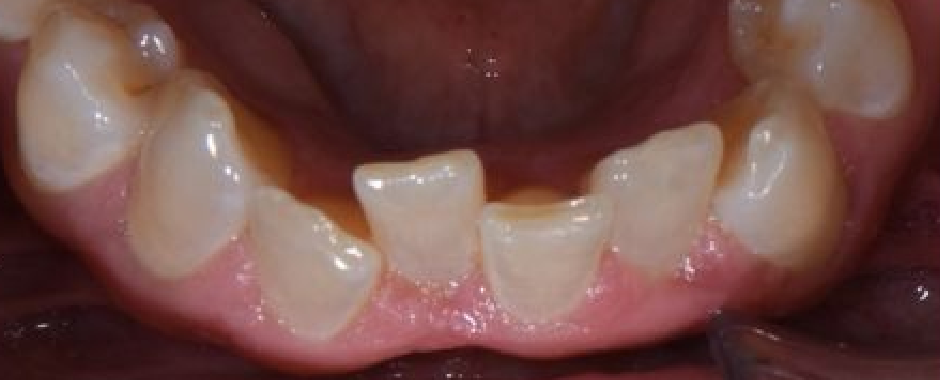
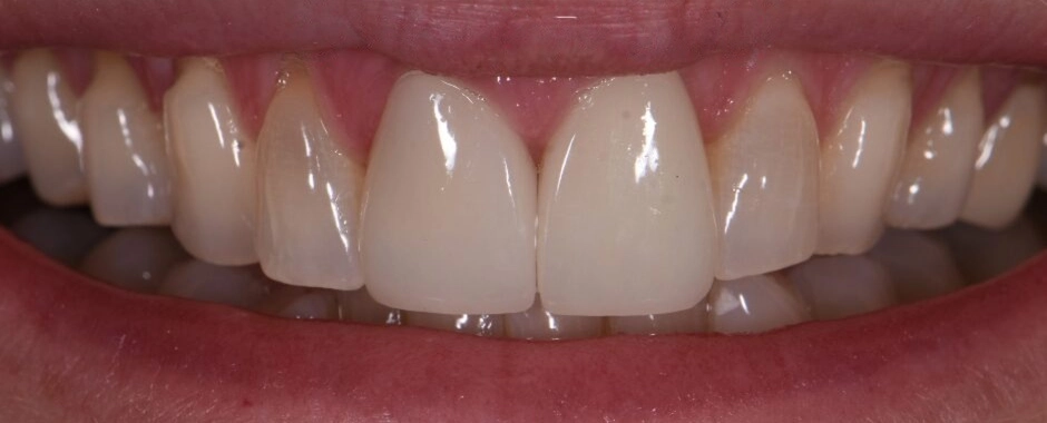
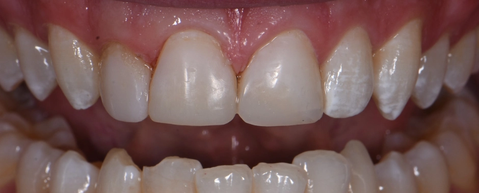
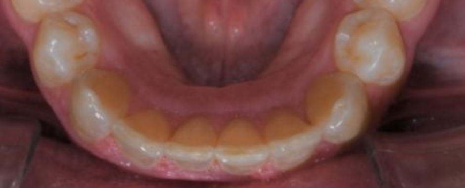
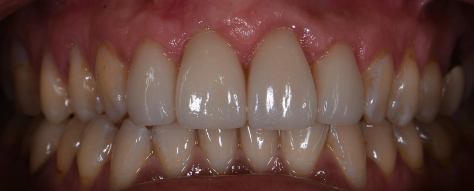
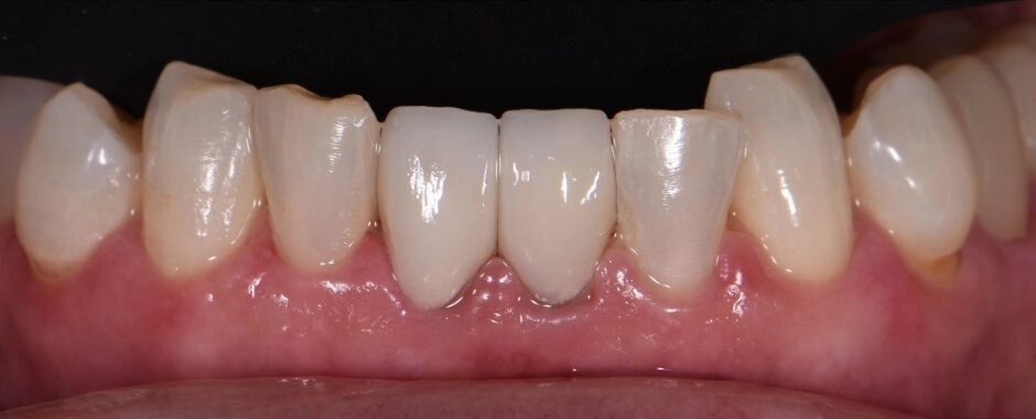
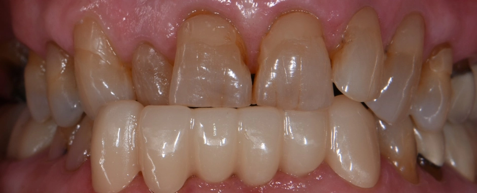
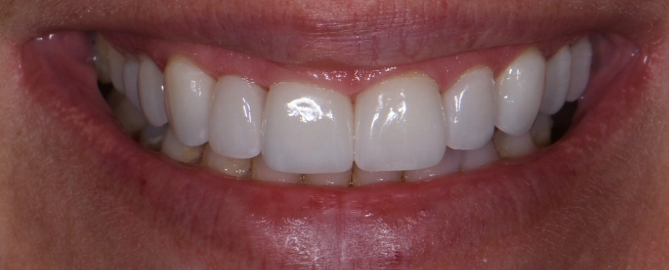
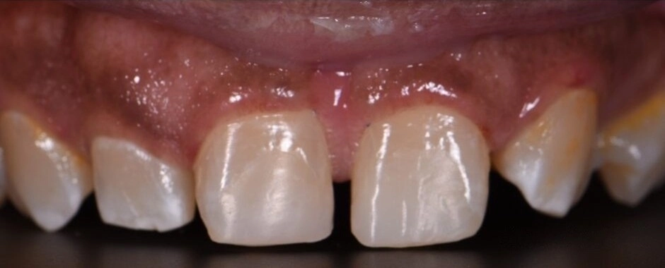
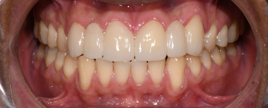
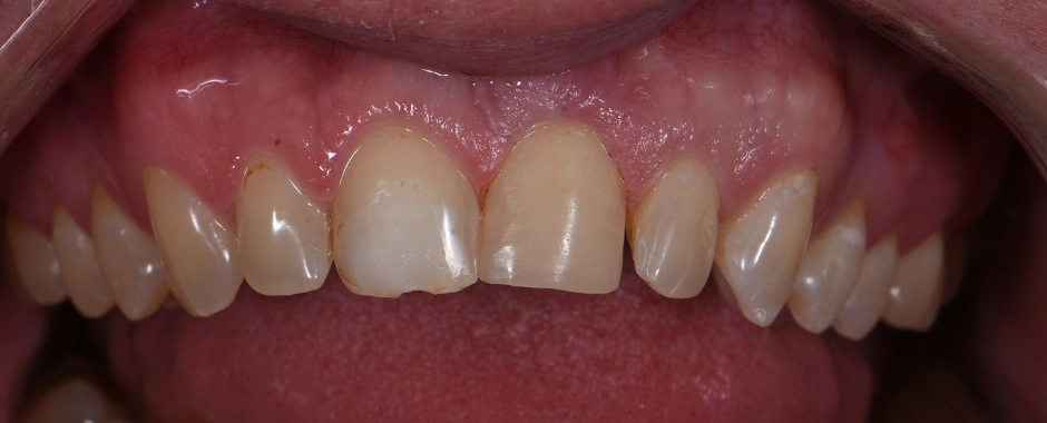
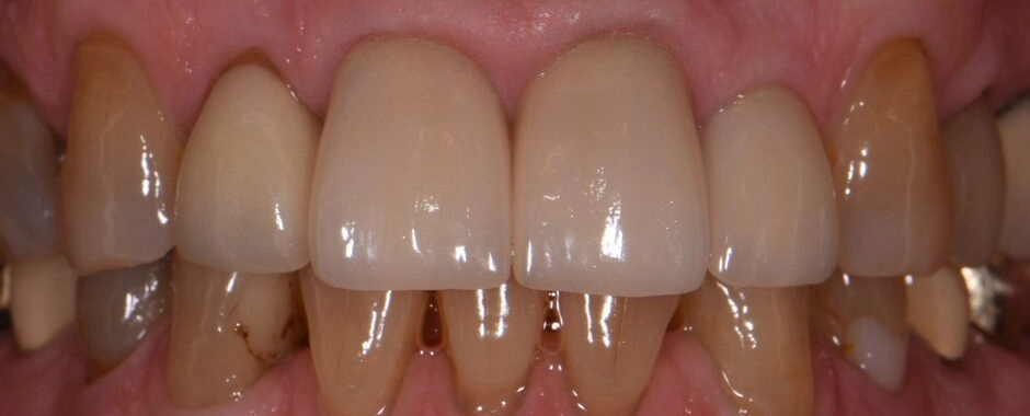
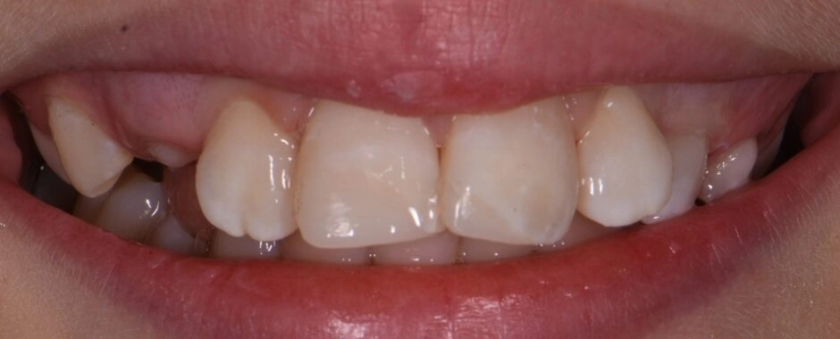
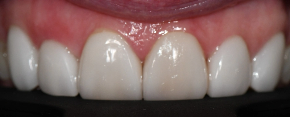
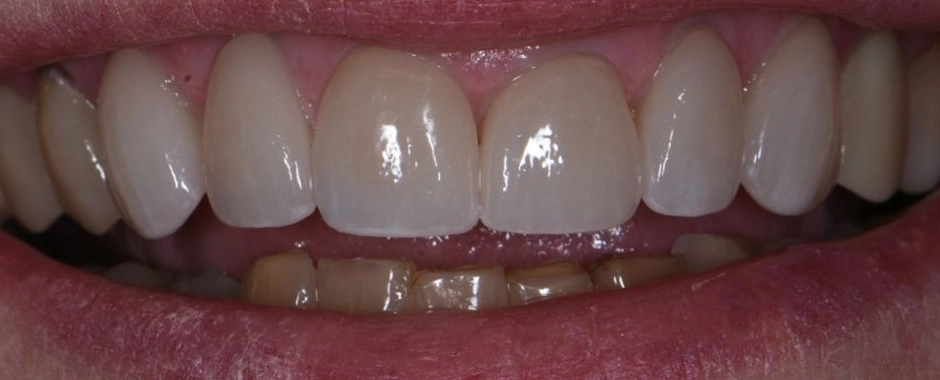
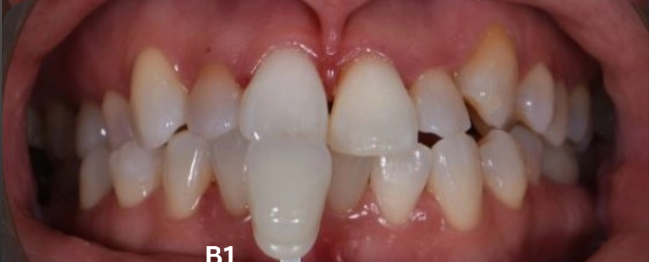
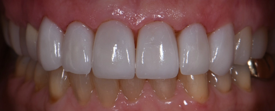
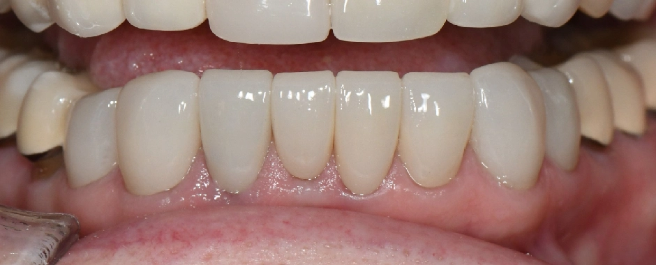
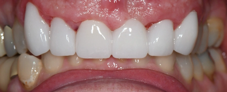
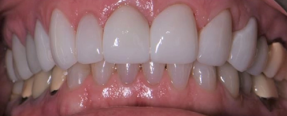
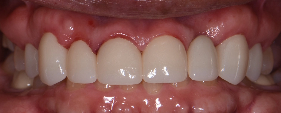
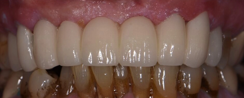
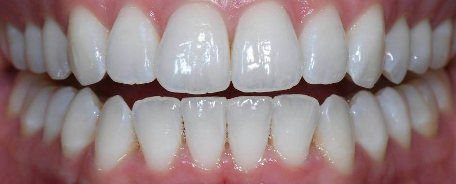
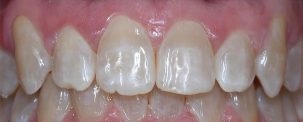
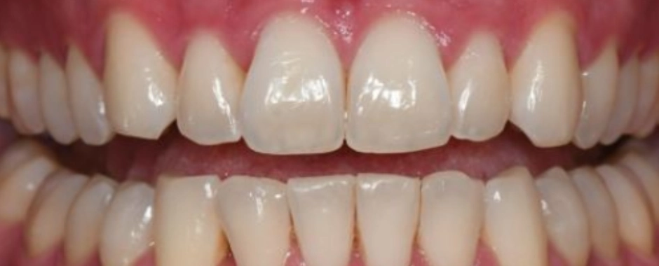
Smile Gallery
Explore before-and-after smiles from patients who trusted us with their dental care.
MEET DR. CHINTAN PATEL
He has over 400 hours of continuing education to provide the best services to his patients.
Our Gallery




























Our Happy Patients
WE’RE HERE TO HELP YOU GET THE PERFECT SMILE!
Have Questions? Call Us Now (919) 322-0390 or
Have Questions? Call Us Now (919) 322-0390 or Schedule Your Visit



